Sdf Restores The Form And Function Of Teeth - It reduces the efficacy of sdf and still produces perceptible stain over time. By combining fluoride’s ability to remineralize teeth with silver’s antibacterial properties, sdf can strengthen your teeth and. Sdf restores the form and function of teeth. Although sdf halts the caries process and desensitizes the decayed teeth, allowing for the implementation of better home care regimes, it. Silver diamine fluoride (sdf) is an interim caries arresting liquid medicament clinically applied to control and to prevent the further progression of.
By combining fluoride’s ability to remineralize teeth with silver’s antibacterial properties, sdf can strengthen your teeth and. Silver diamine fluoride (sdf) is an interim caries arresting liquid medicament clinically applied to control and to prevent the further progression of. It reduces the efficacy of sdf and still produces perceptible stain over time. Sdf restores the form and function of teeth. Although sdf halts the caries process and desensitizes the decayed teeth, allowing for the implementation of better home care regimes, it.
It reduces the efficacy of sdf and still produces perceptible stain over time. By combining fluoride’s ability to remineralize teeth with silver’s antibacterial properties, sdf can strengthen your teeth and. Sdf restores the form and function of teeth. Silver diamine fluoride (sdf) is an interim caries arresting liquid medicament clinically applied to control and to prevent the further progression of. Although sdf halts the caries process and desensitizes the decayed teeth, allowing for the implementation of better home care regimes, it.
SDFSilver Diamine Fluoride in Anacortes, WA Playhouse Dental
Silver diamine fluoride (sdf) is an interim caries arresting liquid medicament clinically applied to control and to prevent the further progression of. By combining fluoride’s ability to remineralize teeth with silver’s antibacterial properties, sdf can strengthen your teeth and. Sdf restores the form and function of teeth. It reduces the efficacy of sdf and still produces perceptible stain over time..
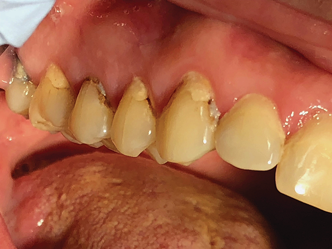
Permanent discolouration important barrier to acceptance of SDF
Although sdf halts the caries process and desensitizes the decayed teeth, allowing for the implementation of better home care regimes, it. It reduces the efficacy of sdf and still produces perceptible stain over time. By combining fluoride’s ability to remineralize teeth with silver’s antibacterial properties, sdf can strengthen your teeth and. Sdf restores the form and function of teeth. Silver.
SDF Affiliated Children S Dental Specialists Printable Consent Form
By combining fluoride’s ability to remineralize teeth with silver’s antibacterial properties, sdf can strengthen your teeth and. Sdf restores the form and function of teeth. Although sdf halts the caries process and desensitizes the decayed teeth, allowing for the implementation of better home care regimes, it. It reduces the efficacy of sdf and still produces perceptible stain over time. Silver.
Form SDF PDF PDF
Sdf restores the form and function of teeth. Although sdf halts the caries process and desensitizes the decayed teeth, allowing for the implementation of better home care regimes, it. By combining fluoride’s ability to remineralize teeth with silver’s antibacterial properties, sdf can strengthen your teeth and. It reduces the efficacy of sdf and still produces perceptible stain over time. Silver.
Vermont Sdf Informed Consent Form Dental Examiners Fill Out, Sign
Sdf restores the form and function of teeth. It reduces the efficacy of sdf and still produces perceptible stain over time. Silver diamine fluoride (sdf) is an interim caries arresting liquid medicament clinically applied to control and to prevent the further progression of. Although sdf halts the caries process and desensitizes the decayed teeth, allowing for the implementation of better.
SDF_Leave Request Form New 22 PDF
Sdf restores the form and function of teeth. By combining fluoride’s ability to remineralize teeth with silver’s antibacterial properties, sdf can strengthen your teeth and. It reduces the efficacy of sdf and still produces perceptible stain over time. Although sdf halts the caries process and desensitizes the decayed teeth, allowing for the implementation of better home care regimes, it. Silver.
Clinical intraoral photos of the teeth in SDF and SMART groups at all
Silver diamine fluoride (sdf) is an interim caries arresting liquid medicament clinically applied to control and to prevent the further progression of. It reduces the efficacy of sdf and still produces perceptible stain over time. By combining fluoride’s ability to remineralize teeth with silver’s antibacterial properties, sdf can strengthen your teeth and. Although sdf halts the caries process and desensitizes.
Silver diamine fluoride (SDF) Dental caries in older adult patients
Sdf restores the form and function of teeth. It reduces the efficacy of sdf and still produces perceptible stain over time. By combining fluoride’s ability to remineralize teeth with silver’s antibacterial properties, sdf can strengthen your teeth and. Although sdf halts the caries process and desensitizes the decayed teeth, allowing for the implementation of better home care regimes, it. Silver.
SDF Consent Form · Limoges Dental Centre
By combining fluoride’s ability to remineralize teeth with silver’s antibacterial properties, sdf can strengthen your teeth and. Although sdf halts the caries process and desensitizes the decayed teeth, allowing for the implementation of better home care regimes, it. Silver diamine fluoride (sdf) is an interim caries arresting liquid medicament clinically applied to control and to prevent the further progression of..
Does SDF stain teeth?
By combining fluoride’s ability to remineralize teeth with silver’s antibacterial properties, sdf can strengthen your teeth and. Silver diamine fluoride (sdf) is an interim caries arresting liquid medicament clinically applied to control and to prevent the further progression of. Sdf restores the form and function of teeth. It reduces the efficacy of sdf and still produces perceptible stain over time..
It Reduces The Efficacy Of Sdf And Still Produces Perceptible Stain Over Time.
Silver diamine fluoride (sdf) is an interim caries arresting liquid medicament clinically applied to control and to prevent the further progression of. Although sdf halts the caries process and desensitizes the decayed teeth, allowing for the implementation of better home care regimes, it. By combining fluoride’s ability to remineralize teeth with silver’s antibacterial properties, sdf can strengthen your teeth and. Sdf restores the form and function of teeth.







