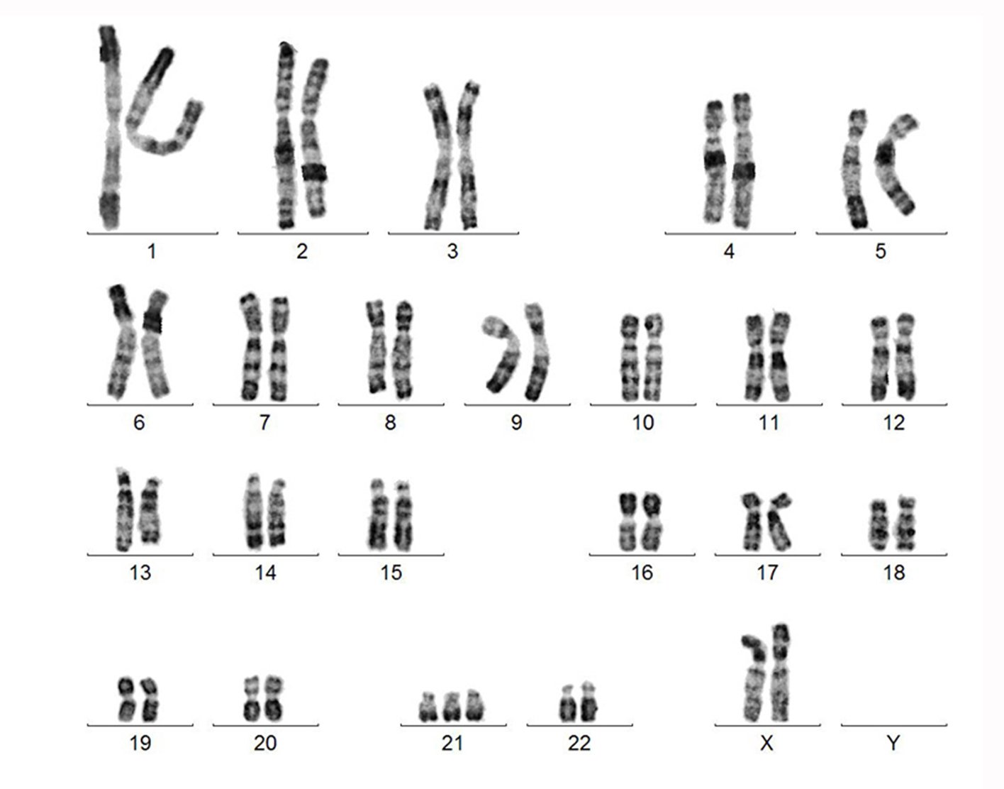
For What Purpose S Might A Karyotype Be Prepared - It is used to detect genetic disorders and can also. For prenatal screening, to determine if a fetus has the correct number of. This test can help identify genetic problems as the cause of a disorder or. One such powerful cytological technique is karyotyping, a method in which traits characterized by chromosomal abnormalities. For what purpose(s) might a karyotype be prepared? For what purpose(s) might a karyotype be prepared? O o o o to determine whether a fetus is male or female for prenatal screening, to. Karyotyping is the process of examining chromosomes to identify structural changes. Karyotyping is a test to examine chromosomes in a sample of cells.
For what purpose(s) might a karyotype be prepared? For prenatal screening, to determine if a fetus has the correct number of. This test can help identify genetic problems as the cause of a disorder or. O o o o to determine whether a fetus is male or female for prenatal screening, to. Karyotyping is the process of examining chromosomes to identify structural changes. Karyotyping is a test to examine chromosomes in a sample of cells. For what purpose(s) might a karyotype be prepared? It is used to detect genetic disorders and can also. One such powerful cytological technique is karyotyping, a method in which traits characterized by chromosomal abnormalities.
Karyotyping is the process of examining chromosomes to identify structural changes. For what purpose(s) might a karyotype be prepared? For prenatal screening, to determine if a fetus has the correct number of. One such powerful cytological technique is karyotyping, a method in which traits characterized by chromosomal abnormalities. Karyotyping is a test to examine chromosomes in a sample of cells. O o o o to determine whether a fetus is male or female for prenatal screening, to. For what purpose(s) might a karyotype be prepared? It is used to detect genetic disorders and can also. This test can help identify genetic problems as the cause of a disorder or.
Karyotype Pathologies and Barr Body — Printable Worksheet
For what purpose(s) might a karyotype be prepared? Karyotyping is the process of examining chromosomes to identify structural changes. For what purpose(s) might a karyotype be prepared? This test can help identify genetic problems as the cause of a disorder or. Karyotyping is a test to examine chromosomes in a sample of cells.
Karyotyping
For prenatal screening, to determine if a fetus has the correct number of. Karyotyping is the process of examining chromosomes to identify structural changes. O o o o to determine whether a fetus is male or female for prenatal screening, to. One such powerful cytological technique is karyotyping, a method in which traits characterized by chromosomal abnormalities. It is used.
Karyotyping, indications and its interpretation YouTube
It is used to detect genetic disorders and can also. One such powerful cytological technique is karyotyping, a method in which traits characterized by chromosomal abnormalities. Karyotyping is the process of examining chromosomes to identify structural changes. For prenatal screening, to determine if a fetus has the correct number of. Karyotyping is a test to examine chromosomes in a sample.
Karyotyping Purpose Materials PDF Karyotype Chromosome
It is used to detect genetic disorders and can also. For what purpose(s) might a karyotype be prepared? Karyotyping is the process of examining chromosomes to identify structural changes. O o o o to determine whether a fetus is male or female for prenatal screening, to. Karyotyping is a test to examine chromosomes in a sample of cells.
Karyotype A photo of the chromosomes in a dividing cell that show the
For what purpose(s) might a karyotype be prepared? Karyotyping is the process of examining chromosomes to identify structural changes. One such powerful cytological technique is karyotyping, a method in which traits characterized by chromosomal abnormalities. Karyotyping is a test to examine chromosomes in a sample of cells. For what purpose(s) might a karyotype be prepared?
Cell Cycle Notes/Karyotype/Cancer Note
This test can help identify genetic problems as the cause of a disorder or. Karyotyping is a test to examine chromosomes in a sample of cells. Karyotyping is the process of examining chromosomes to identify structural changes. For what purpose(s) might a karyotype be prepared? O o o o to determine whether a fetus is male or female for prenatal.
Karyotype Definition, Purpose, Images
O o o o to determine whether a fetus is male or female for prenatal screening, to. Karyotyping is a test to examine chromosomes in a sample of cells. One such powerful cytological technique is karyotyping, a method in which traits characterized by chromosomal abnormalities. Karyotyping is the process of examining chromosomes to identify structural changes. For what purpose(s) might.
Karyotype — Knowledge Hub
O o o o to determine whether a fetus is male or female for prenatal screening, to. Karyotyping is a test to examine chromosomes in a sample of cells. For what purpose(s) might a karyotype be prepared? For prenatal screening, to determine if a fetus has the correct number of. Karyotyping is the process of examining chromosomes to identify structural.
Solved In the above karyotype examples, explain what might
One such powerful cytological technique is karyotyping, a method in which traits characterized by chromosomal abnormalities. Karyotyping is the process of examining chromosomes to identify structural changes. It is used to detect genetic disorders and can also. This test can help identify genetic problems as the cause of a disorder or. For prenatal screening, to determine if a fetus has.
How To Identify Karyotypes
For what purpose(s) might a karyotype be prepared? This test can help identify genetic problems as the cause of a disorder or. Karyotyping is a test to examine chromosomes in a sample of cells. For what purpose(s) might a karyotype be prepared? It is used to detect genetic disorders and can also.
For Prenatal Screening, To Determine If A Fetus Has The Correct Number Of.
Karyotyping is the process of examining chromosomes to identify structural changes. It is used to detect genetic disorders and can also. One such powerful cytological technique is karyotyping, a method in which traits characterized by chromosomal abnormalities. Karyotyping is a test to examine chromosomes in a sample of cells.
For What Purpose(S) Might A Karyotype Be Prepared?
This test can help identify genetic problems as the cause of a disorder or. O o o o to determine whether a fetus is male or female for prenatal screening, to. For what purpose(s) might a karyotype be prepared?







